Acervo dos Sistemas

Sistema Nervoso
O sistema nervoso é responsável pela coordenação e controle das funções corporais, dividido em sistema nervoso central (SNC) e sistema nervoso periférico (SNP). O sistema nervoso central é composto pelo encéfalo (que inclui o cérebro, cerebelo e tronco encefálico), que processa informações e controla funções cognitivas e motoras, e pela medula espinhal, que transmite impulsos entre o encéfalo e o corpo. O sistema nervoso periférico é constituído pelos formado pelos nervos e gânglios nervosos.

Sistema Tegumentar
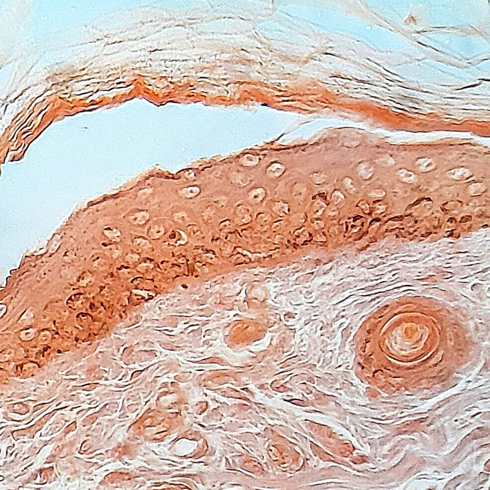
O sistema tegumentar, o maior órgão do corpo humano, composto por: pele, pelos, unhas e glândulas associadas, desempenhando funções essenciais de proteção, regulação e percepção sensorial. A pele é formada por três camadas principais: a epiderme, que é a camada externa composta por epitélio, queratina e melanócitos, a derme, que contém tecido conjuntivo, vasos sanguíneos, nervos, folículos pilosos e glândulas, e a hipoderme, a camada mais profunda, composta por tecido adiposo. O sistema tegumentar regula a temperatura corporal, protege contra patógenos, e é um importante órgão sensorial, permitindo a detecção de toque, dor, temperatura e pressão.

Sistema Cardivascular
O sistema circulatório, também conhecido como sistema cardiovascular, é responsável por transportar sangue, nutrientes, gases e resíduos por todo o corpo. Ele é composto por coração, vasos sanguíneos (artérias, veias e capilares) e sangue. O coração, um órgão muscular, bombeia o sangue levando o desoxigenado aos pulmões para oxigenação, e também o distribui oxigenado para os tecidos do corpo. As artérias transportam o sangue do coração para os órgãos, enquanto as veias trazem o sangue de volta ao coração.

Sistema Respiratório
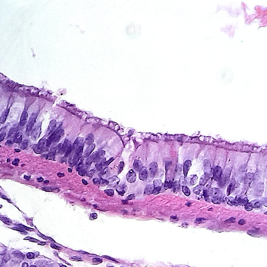
O sistema respiratório é responsável pela troca gasosa entre o organismo e o ambiente, permitindo a entrada de oxigênio e a eliminação de dióxido de carbono. Ele é composto por várias estruturas, incluindo; vias aéreas superiores (nariz, faringe e laringe), e vias aéreas inferiores (traqueia, brônquios e pulmões) e os músculos respiratórios, como o diafragma e os intercostais. O tecido é composto pelo epitélio pseudoestratificado ciliado, apresentando também glândulas caliciformes.

Sistema Digestivo
O sistema digestivo é composto pelo trato digestivo, incluindo; a cavidade oral, esôfago, estômago, intestino delgado e o grosso, além de glândulas associadas. O tubo digestivo é formado por quatro camadas principais: camada mucosa mais interna, reveste o lúmen e é composta por epitélio, camada submucosa composta por tecido conjuntivo denso contendo vasos sanguíneo, linfáticos e nervosos, a camada muscular, apresentando fibras musculares lisas e a camada serosa, que é uma camada externa que envolve o trato digestivo. As glândulas salivares disposta contam com; sublinguais, submandibulares e a parótida.

Sistema Urogenital
O sistema urogenital é responsável pela excreção de resíduos, produção, armazenamento e eliminação da urina, além das funções reprodutivas, composto pelos rins, ureteres, bexiga urinária e uretra. Apresenta estruturas como os néfrons, que são as unidades funcionais que filtram o sangue e forma a urina, cada néfron possui um corpúsculo renal, que inclui o glomérulo e a cápsula de Bowman, além de túbulos renais. Os ureteres transportam a urina para a bexiga onde é armazenada, já a uretra, transporta a urina da bexiga para o meio externo.

Sistema Endócrino
O sistema endócrino é um conjunto de glândulas que produzem e secretam hormônios, substâncias químicas que regulam diversas funções do organismo. Os hormônios são liberados diretamente na corrente sanguínea e atuam em órgãos e tecidos alvo, influenciando diversos processos fisiologicos do organismo dos seres vivos.

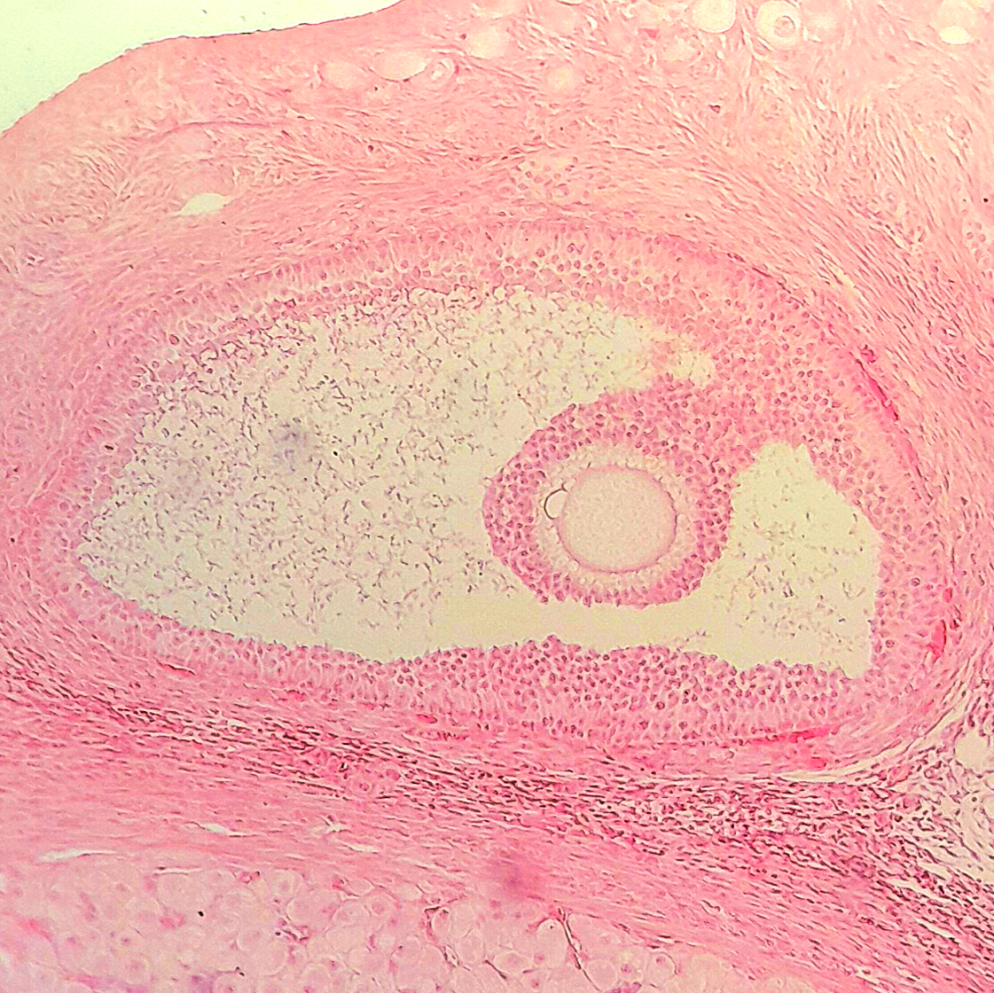
Sistema Reprodutor
No sistema reprodutor masculino, os testículos são compostos por células de Sertoli, que sustentam e nutrem as espermatogônias e espermatócitos, que se diferenciam em espermatozoides. As células de Leydig, atuando na produção de testosterona. Os espermatozoides são transportados para o epidídimo, onde amadurecem e são armazenados. No sistema reprodutor feminino, é composto pelos, ovários, tubas uterinas, útero e vagina. Os ovários atuam no desenvolvimento dos óvulos junto aos hormônios sexuais, como estrogênio e progesterona. O útero é o local de implantação e desenvolvimento do embrião, apresentando o endométrio que passa por ciclos de espessamento e descamação em resposta aos hormônios.

Sistema Linfático
O sistema linfático é uma rede complexa composta por vasos linfáticos, linfonodos e órgãos linfoides, desempenhando um papel crucial na defesa imunológica, removendo patógenos e células anormais, contribuindo para a defesa do organismo, além de participar da produção, ativação, maturação e destruição de linfócitos, que são fundamentais na resposta imune adaptativa.